Merkel Cell Merkel cell polyomavirus and hpv-17 associated with cutaneous squamous

If you are looking for Merkel Cell Polyomavirus and HPV-17 Associated With Cutaneous Squamous you've visit to the right web. We have 13 Pics about Merkel Cell Polyomavirus and HPV-17 Associated With Cutaneous Squamous like 'Remarkable' Responses in Rare Merkel-Cell Skin Cancer, File:Merkel cell EM 02.jpg - Embryology and also Figure 1 from Current considerations about Merkel cells. | Semantic Scholar. Here you go:

Merkel Cell Polyomavirus And HPV-17 Associated With Cutaneous Squamous

Merkel Cell Polyomavirus and HPV-17 Associated With Cutaneous Squamous jamanetwork.com

cell carcinoma merkel journals squamous cutaneous jamanetwork polyomavirus hpv

Figure 1 From Current Considerations About Merkel Cells. | Semantic Scholar

Figure 1 from Current considerations about Merkel cells. | Semantic Scholar www.semanticscholar.org

merkel cells

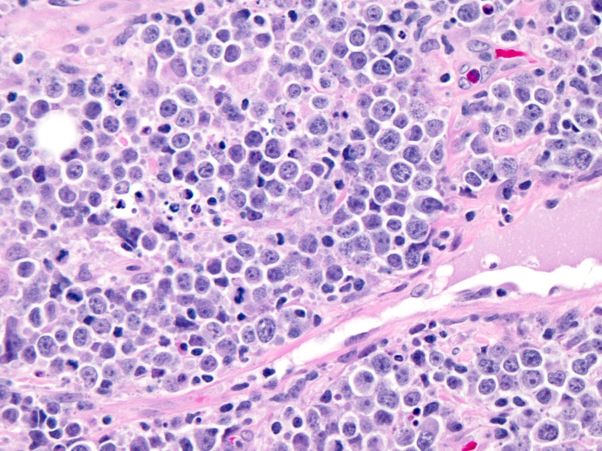
Merkel Cell Tumour Pathology Outlines - PeteBridget

Merkel Cell Tumour Pathology Outlines - PeteBridget petebridget.blogspot.com

merkel pathology tumour mukhopadhyay

Merkel Cell Carcinoma; A Rare, Aggressive, Cutaneous Malignancy | BMJ

Merkel cell carcinoma; a rare, aggressive, cutaneous malignancy | BMJ casereports.bmj.com

merkel carcinoma bmj

Abscopal Effect In A Patient With Metastatic Merkel Cell Carcinoma

Abscopal Effect in a Patient With Metastatic Merkel Cell Carcinoma archderm.jamanetwork.com

merkel abscopal metastatic jamanetwork

File:Merkel Cell EM 02.jpg - Embryology

File:Merkel cell EM 02.jpg - Embryology embryology.med.unsw.edu.au

merkel cell em file embryology resolutions

Metastatic Merkel-cell Carcinoma: The Dawn Of A New Era | BMJ Case Reports

Metastatic Merkel-cell carcinoma: the dawn of a new era | BMJ Case Reports casereports.bmj.com

carcinoma bmj metastatic casereports stage tumour bcr

'Remarkable' Responses In Rare Merkel-Cell Skin Cancer

'Remarkable' Responses in Rare Merkel-Cell Skin Cancer www.medscape.com

merkel cell skin cancer melanoma rare carcinoma longer responses remarkable medscape

Friedrich Sigmund Merkel And His “Merkel Cell”, Morphology, Development

Friedrich Sigmund Merkel and his “Merkel cell”, morphology, development anatomypubs.onlinelibrary.wiley.com

wiley

Merkel Cells Are Initial Sites For Sensing Touch, Researchers Prove

Merkel cells are initial sites for sensing touch, researchers prove medicalxpress.com

merkel cells sensing prove researchers initial touch diagram

The Sense Of Light Touch Really Is Activated By Merkel Cells

The Sense Of Light Touch Really Is Activated By Merkel Cells www.gasdetection.com

merkel activated

View Image

View Image www.ijofr.org

merkel cells cell skin function receptors location histology disc role

Figure 5 – Merkel Cells

Figure 5 – Merkel Cells pharmaxchange.info

merkel figure skin cell cells pharmaxchange info ageing structure carcinoma cells2

Merkel cell em file embryology resolutions. File:merkel cell em 02.jpg. Metastatic merkel-cell carcinoma: the dawn of a new era


Comments